| 
Télécharger le catalogue
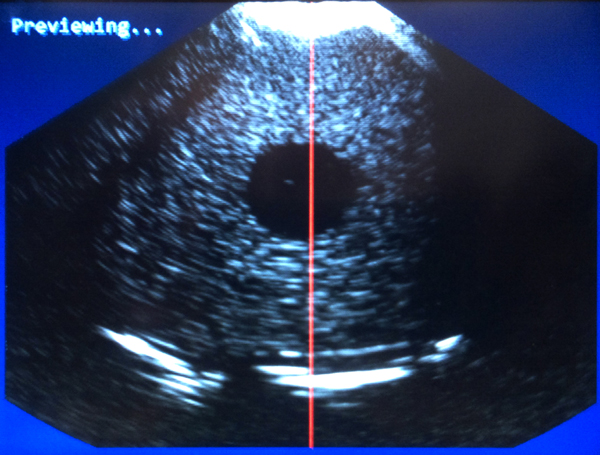
CareScan -1échographe de la vessie , développé par WellEcho , était le fruit d'années de recherche et développement . Le produit utilise une nouvelle génération de l'imagerie et de la technologie de sondage qui est complètement différente de la technologie traditionnelle et est facile à utiliser avec une précision de mesure très élevée.
Avantages du produit - Algorithme plus avancée, la technologie de reconnaissance paroi de la vessie plus puissante , la technologie plus précise des contours, une plus grande précision de la sonde rend résultats d'analyse plus précis. - Nouvel algorithme , les résultats des mesures ne sont pas soumis à la forme et taille de la vessie. Pas besoin de sélectionner le sexe, groupe d'âge et le pas besoin d'examiner des cas particuliers tels que l'effet de l'hystérectomie sur les résultats de mesure. Bonne compatibilité des différents vessies, aucune erreur importante lorsque la mesure de petites vessies ou vessies de forme spéciale , facile à utiliser - Taux de reconnaissance élevé pour la paroi de la vessie avec de l'air , la quantité précise du volume d'urine , même quand la vessie n'est pas complètement remplie. - Avec les fonctions manuelles de contour, lorsque Contour automatique est vraiment difficile , cela peut être contourné manuellement via l'écran tactile, afin de s'assurer que les résultats précis peuvent être obtenus même si la frontière de la vessie est anormal. - L'imagerie en temps réel pendant le processus d'analyse, de surveillance en temps réel de l'insertion du cathéter afin de mieux prévenir la douleur causée par l'insertion inapproprié. -10ml ~ 2000ml grande plage de mesure - La sonde utilise un nouveau moteur pas à pas en trois dimensions, peut maintenir durablement la numérisation de haute précision, étalonnage périodique n'est pas nécessaire. -Paramètres identifiables à l'intérieur de la sonde, la sonde peut être rapidement remplacé sans l'étalonnage secondaire. - Built-in 24Wh grande capacité de la batterie , le temps de travail continu > 4 heures, la batterie peut être rapidement remplacé . - Le fonctionnement de l'écran tactile , les menus simples, faciles et rapides à utiliser . - Compact et léger, facile à transporter.
Caractéristiques techniques : 1. Fréquence ultrasonique de la sonde : 2.6MHz , à large bande ; 2. Ecran : 5,6 pouces écran tactile LCD , résolution de 640 × 480; 3. Plage de mesure: 10ml ~ 2000 ml ; 4. Erreur de mesure automatique <15% ; 5. La durée de balayage : <8 secondes ; 6. Tome temps de mesure : <6 s ; 7. Affichage de l'image numérisée: 4 images / s; 8. Dossiers médicaux Stockage: 32G maximum, le stockage des données de carte SD, peut stocker les dossiers médicaux> 40000; 9. Impression: Built-in imprimante thermique; 10. support de la sonde: avec le support de sonde et le fil de trame d'enroulement de la sonde; 11. Interface: une interface de sonde, une fente pour carte SD, une prise d'entrée d'alimentation; 12. Batterie: 24Wh Batterie intégrée, temps de travail continu > 4 heures, peuvent être connectés à une batterie 12V/2A externe, batterie est intégré dans le scanner, le temps de charge est de 3 heures; 13. Puissance d'entrée: 100 ~ 260V CA pour charger adaptateur secteur, adaptateur fournit 12V DC au scanner; 14. Dimension: 200 mm (hauteur) x 160mm (largeur) x 140 mm (épaisseur).




Paquet de produit: Produit standard: une unité principale, une sonde, un adaptateur secteur, un batterie intégrée, un sac à dos, une carte mémoire SD. Accessoires en option: panier, batterie.

 Universal lift/rotation trolley

Application: Scanner de la vessie est utilisée pour visualiser, suivre et mesurer de manière non invasive le volume d'urine dans la vessie, afin de déterminer si d'uriner est nécessaire et le débit urinaire et pour éviter une insertion inappropriée du cathéter dans la vessie. Scanner de la vessie est largement utilisé en urologie, la réadaptation, la chirurgie, salle d'opération et les soins de santé à domicile. Avantages de la numérisation de la vessie • Calcule le volume de la vessie et le résidu postmictionnel • Évite les sondages non nécessaires et l'inconfort du patient • Diminue les risques d’infection des voies urinaires • Surveiller la vessie non invasif pour éviter la rétention urinaire • Surveiller la récupération post-opératoire • Réduit les coûts hospitaliers (jetables) • Favorise l'efficacité du personnel et nécessite peu de formation.



 Manual Contour functions


À propos de nous: WellEcho Inc. est un développeur et fabricant de matériel médical. Le centre R & D de la société est dans l'état du Delaware Etats-Unis. WellEcho dispose d'un réseau d'affaires dans le monde entier et a été fondée par une équipe d'élite du personnel qui ont plusieurs années d'expérience dans l'industrie. La société travaille en collaboration avec l'Université de Californie du Sud et d'autres et a de fortes capacités de R & D dans le domaine de l'imagerie acoustique et l'imagerie optique. La société se concentre sur la recherche de marché et de la communication avec les clients afin de développer des produits technologiquement avancés et axés sur les clients et d'apporter des contributions à la santé humaine. La société se concentre également sur le renforcement de la marque et s'efforce de fournir aux clients des produits performants et de qualité et un bon service à la clientèle pour s'assurer que les clients peuvent profiter de nos produits.
|